1 引言(Introduction)
活性污泥法是最重要的污水處理工藝之一,在世界范圍內已被廣泛地應用于處理市政污水和工業廢水,其工藝流程通常是將厭氧、缺氧和好氧環境結合起來實現除碳磷和脫氮的功能.活性污泥系統是一個功能強大的微生態系統,其中,最主要的自養菌是硝化細菌,即氨氧化細菌(AOB)與亞硝酸鹽氧化菌(NOB).為了實現持續穩定的硝化效果,污水處理廠通常將曝氣池中的溶解氧(DO)濃度控制在2 mg·L-1以上.但在較低的DO濃度下,完全混合式或者生物膜反應系統中也能實現完全的硝化作用.如果污水處理廠能在低DO環境下實現穩定達標,那么將大大降低污水廠的運行能耗.本研究通過一個長期運行的缺氧/好氧(A/O)推流式活性污泥小試試驗系統,考察系統的脫氮效果和系統內硝化細菌群落結構隨DO濃度變化的規律,探討低DO生物脫氮的可能性,以期為實際污水廠在低DO濃度下實現穩定高效的硝化效果,節約能耗提供可靠的理論依據.
2 材料與方法(Material and methods) 2.1 材料
接種污泥取自北京北小河污水處理廠;進水為人工配水,COD為300~400 mg·L-1,NH4+-N濃度為45~55 mg·L-1,pH控制在7.5~8.5.
2.2 反應器裝置和運行條件
采用缺氧/好氧(A/O)推流式活性污泥工藝,缺氧和好氧池總體積為37.5 L,缺氧池/好氧池的體積比為1:4,水力停留時間為9 h;沉淀池體積為24 L,停留時間為3 h.進水流量為96 L·d-1,混合液回流比R=200%,污泥回流比r=150%.實驗裝置如圖 1所示.

圖 1 反應器裝置示意圖(1.進水桶,2.進水泵,3.A/O反應池,4.攪拌器,5.曝氣頭,6.內回流泵,7.污泥回流泵,8.二沉池)
在實驗過程中,溫度維持在20~25 ℃,SRT為20 d,反應器初始污泥濃度在3000 mg·L-1左右.以DO為3 mg·L-1啟動反應器,待系統穩定后將DO逐漸降低到2、1、0.5、0.3和0.2 mg·L-1運行,在本研究中,3和2 mg·L-1屬于高DO濃度工況,而1、0.5、0.3和0.2 mg·L-1屬于低DOI濃度工況.
2.3 水質和污泥性質測定
系統運行期間每隔2~4 d取水樣測定進出水水質,采用國標法進行測定,檢測項目包括COD、NH4+-N、NO2--N、NO3--N和TN.在每個工況的運行后期采集活性污泥樣品,置于-80 ℃保存. MLSS和SVI分別采用馬弗爐燃燒減重法和30 min沉降法測定.
2.4 硝化細菌群落結構分析 2.4.1 DNA的提取
用改進的Zhou法提取活性污泥的DNA,即玻璃珠振蕩-SDS-氯仿異戊醇法.
2.4.2 硝化細菌的聚合酶鏈式反應(PCR)擴增
AOB的擴增:采用其功能基因amoA的引物對amoA-1F(GGGGTTTCTACTGGTGGT)和amoA-2R(CCCCTCTGCAAAGCCTTCTTC)進行PCR擴增,擴增程序為:94 ℃預變性5 min;94 ℃變性 60 s,51 ℃退火 90 s,72 ℃延伸90 s,共40個循環;最后在72 ℃下延伸10 min,冷卻至4 ℃保存.
NOB的擴增:對于Nitrobacter,選用F1370 F1(CAGACCGACGTGTGCGAAAG)和F2843 R2(TCCACAAGGAACGGAAGGTC)進行PCR擴增,擴增程序為:94 ℃預變性3 min;94 ℃變性 30 s,55 ℃退火45 s,72 ℃延伸 45 s,共35個循環;最后在72 ℃下延伸5 min,冷卻至4 ℃保存;對于Nitrospira,選用NSR 1113f(CCTGCTTTCAGTTGCTACCG)和NSR 1264r(GTTTGCAGCGCTTTGTACCG)進行PCR擴增,擴增程序為:94 ℃預變性5 min;94 ℃變性30 s,65 ℃退火30 s,72 ℃延伸30 s,共40個循環;最后在72 ℃下延伸15 min,冷卻至4 ℃保存.
每種引物對的前端引物附40 bp的GC夾,便于后續的變性梯度凝膠電泳(DGGE)分析,PCR反應的產物用2%瓊脂糖凝膠電泳檢測.
2.4.3 DGGE分析
將4 μL PCR樣品和1.5 μL 6倍加樣緩沖液混合,采用Bio-rad突變檢測系統,用8%的聚丙烯酰胺凝膠,變性劑濃度為45%~75%,在110 V的電壓下60 ℃電泳6 h,用SYBR GREEN I染料對凝膠進行染色,獲得DGGE指紋圖譜.
2.4.4 基因測序
用潔凈的手術刀切取DGGE圖譜中的目的條帶,利用聚丙烯酰胺DNA回收試劑盒(索萊寶科技公司,北京)進行回收,回收純化后的DNA用同樣的對應引物對進行PCR擴增,產物送上海英駿生物公司進行測序.序列通過NCBI基因庫進行在線BLAST比對分析.
2.4.5 相似性和多樣性分析
通過比較相似性系數(Cs)來分析樣品圖譜的相似性.試驗所得圖像用BIO-RAD的Quantity One軟件分析.微生物多樣性指數采用Shannon指數(H)表示,公式為:H=-∑PilgPi,其中,Pi=ni/N,ni為峰面積,N為所有峰的總面積.
3 結果討論(Results and discussion) 3.1 不同DO條件下A/O系統的脫氮效果和污泥性質 3.1.1 不同DO條件下A/O系統的脫氮效果
圖 2和圖 3分別顯示了在不同DO條件下A/O小試系統內進出水的氮素濃度和去除率.硝化過程是耗氧反應,當小試系統曝氣池中的DO濃度維持在3 mg·L-1和2 mg·L-1時,系統在很短的時間內就能實現很好的硝化效果,當改變曝氣池中的溶解氧濃度,系統在幾天之內氨氮的去除率即可穩定.當把系統曝氣池中的DO調至1 mg·L-1時,由于突然從高DO狀態調節至低DO狀態,運行初始階段出水水質存在波動,但經過2周左右的培養和馴化后出水氨氮和總氮均達到了穩定狀態,繼續降低曝氣池中的DO濃度,使其維持在0.5 mg·L-1時,出水氨氮和總氮并未出現較大的波動,氨氮的平均去除率均為98%以上,總氮的平均去除率為85%以上.當進一步降低DO至0.3 mg·L-1時,盡管經過30 d的連續運行,氨氮的平均去除率下降到了95.4%,總氮的平均去除率為83.46%,整個過程出水水質波動較大,難以達到穩定的狀態. 然而,當DO繼續降低到0.2 mg·L-1時,系統出現了大幅度波動,出水氨氮和總氮濃度非常高,連續運行了30 d后,出水水質也未達標. 這些水質結果表明該系統的運行DO濃度只能降低到0.5 mg·L-1.

圖 2 A/O小試系統內進出水的氮素濃度

圖 3 A/O小試系統內氨氮和總氮的去除率
傳統生物脫氮過程的硝化反應是在好氧條件下進行的,氧氣作為電子受體,氮元素作為電子供體,將氨氮氧化為硝酸鹽氮.因此,為了能充分實現硝化反應,污水處理廠往往將DO設計到2 mg·L-1以上(Park et al.,2004). 根據本研究的結果,在DO為0.5 mg·L-1的情況下,系統也能很好地實現硝化作用,這樣可以大幅度節約硝化反應所需要的能源.當DO從0.5 mg·L-1繼續降低到0.3 mg·L-1甚至到0.2 mg·L-1,系統曝氣池中的硝化效果受到了較大的制約,這可能是因為在此DO濃度下曝氣池中污泥易于沉降,泥水難以達到充分的混合.為了保證在此濃度下依然能達到較好的脫氮效果,可以在曝氣池中加裝攪拌器通過攪拌作用使泥水充分混合,但這會增加能量的消耗.另外,還可以通過增大污泥停留時間(SRT)來補償低DO工況下由于氧氣不足所造成的脫氮效果下降. Liu等(2013)的研究結果也證明了這一點,他們考察了SRT為10 d和40 d兩種情況下,當DO降低到0.2 mg·L-1以下時,在SRT為10 d的系統中硝化效果很難達到穩定,而在SRT為40 d的系統中硝化效果較為穩定.
3.1.2 不同DO條件下A/O系統的MLSS和SVI的變化規律
隨著DO濃度的降低,活性污泥的MLSS和SVI均呈上升趨勢. MLSS增加的幅度不是很大,DO為3、2、1、0.5和0.3 mg·L-1時,系統達到相對穩定狀態時活性污泥的平均MLSS分別為3925、4155、4550、4910和5150 mg·L-1.總的來說,MLSS隨著DO的降低而增加,這也與其它文獻報道的研究結果相一致.SVI也是隨著DO的降低而升高,系統內的DO為3和2 mg·L-1時,活性污泥的SVI值在60~100 mL·g-1之間,活性污泥具有很好的沉降性能. DO為1 mg·L-1的工況下,活性污泥的SVI值在100~120 mL·g-1之間,沉降和凝聚性能依然很強.DO為0.5 mg·L-1時,活性污泥的SVI值在140~160 mL·g-1之間,也屬于較正常的范圍.但當DO濃度降低到0.3 mg·L-1運行時,系統中的活性污泥的SVI值在160~180 mL·g-1之間,處于膨脹狀態,這也很好地證明了DO濃度為0.3 mg·L-1時,系統出水水質很難穩定達標的結果.
3.2 硝化細菌群落分析 3.2.1 AOB群落結構和多樣性變化
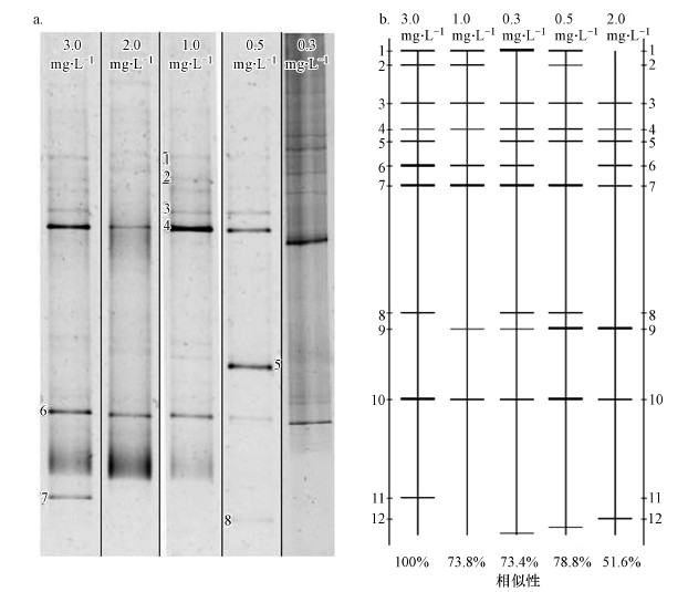
5個不同DO工況下AOB的amoA功能基因DGGE圖譜如圖 4a所示.由圖可以看出,各個工況下的AOB菌群豐富度相對較單一,共檢測到8條優勢條帶,分別標記為1~8. AOB的群落結構隨著DO濃度的降低而發生了變化,在每個工況下都存在的優勢細菌為條帶4和6所代表的細菌. 當DO降低后,DO濃度為3 mg·L-1時存在的優勢條帶7卻消失了,而且在DO濃度為0.5 mg·L-1時,出現了新的優勢條帶5.

圖 4 不同DO條件下AOB的DGGE圖譜(a)和所有條帶的檢測示意圖(b)
圖 4b顯示,從高DO變化到低DO,系統內AOB群落結構的動態變化率約為20%~40%,屬于中等程度的變化(Miura et al.,2007; Wang et al.,2012),高DO(3和2 mg·L-1)和低DO(1、0.5和0.3 mg·L-1)環境中AOB種群多樣性指數(H)較為相似(表 1).在不同的DO環境下,A/O小試系統中AOB的多樣性均處于較高的水平.DO為3 mg·L-1時小試A/O系統中AOB的多樣性最高,AOB的種群多樣性隨DO濃度的降低而減小,但減小的幅度很小,DO的降低并未對AOB的群落結構造成太大的影響,系統中各種優勢細菌分布的均勻性和穩定性使得系統中AOB群落始終處于很穩定的狀態,保證了系統氨氧化功能的穩定性.
表 1 不同DO條件下各種硝化細菌的多樣性指數(H) Table 1 Shannon index of nitrifying bacteria under different DO conditions
圖 4a中標有阿拉伯數字的優勢條帶的測序結果顯示(表 2),AOB均屬于Nitrosomonas,未檢測出有Nitrosospira,其中,條帶1、2、3和4屬于Nitrosomonas-like cluster,條帶 5屬于Nitrosomonas europaea,條帶6和7均為Nitrosomonas oligotropha所屬的細菌.條帶5和7均屬于低DO(0.5 mg·L-1)環境中的優勢AOB,由此說明,所屬Nitrosomonas europaea和Nitrosomonas oligotropha 的AOB均可在低DO的環境中生存,特別是Nitrosomonas europaea所屬的AOB非常適合在0.5 mg·L-1的DO濃度下生存.這一結果也與其他研究者的結果相一致(Park et al.,2008; Liu et al.,2013).
表 2 DGGE條帶的測序結果 Table 2 Sequencing analysis of DNA from DGGE bands
3.2.2 NOB群落中Nitrobacter群落結構的變化
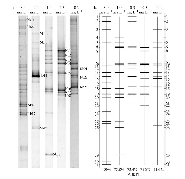
由圖 5a可知,Nitrobacter的群落結構隨DO的降低發生了明顯的變化,高DO環境(3和2 mg·L-1)的Nitrobacter群落與低DO環境(1、0.5和0.3 mg·L-1)的Nitrobacter群落結構存在較大的差異,DO為1和0.5 mg·L-1工況下Nitrobacter的群落結構最為相似,共同的優勢種群為條帶Nb1、Nb2、Nb3、Nb4、Nb5、Nb6、Nb7,Nb8則在DO為0.5 mg·L-1的環境下更為豐富,Nb18是DO為1 mg·L-1工況下存在的優勢條帶.當DO繼續降低至0.3 mg·L-1時,系統中的優勢種群轉變為Nb4、Nb21、Nb22、Nb23,系統中的優勢種群數量明顯降低.

圖 5 不同DO條件下Nitrobacter的DGGE圖譜(a)和所有條帶的檢測示意圖(b)
圖 5b顯示,DO為1和0.5 mg·L-1工況下的Nitrobacter群落結構最為相似,高DO(3和2 mg·L-1)和低DO(1、0.5和0.3 mg·L-1)環境下Nitrobacter的群落結構相似性較低,不同DO環境中的Nitrobacter群落結構差異較大,但1、0.5和0.3 mg·L-1工況下的Nitrobacter群落結構相似性較高. Shannon-Weiner 指數(H)顯示(表 1),不同DO環境下的Nitrobacter群落結構差異較大,但每個DO工況下的優勢種群數量均較高,優勢細菌的均勻性也較高,因此,每個DO工況下的Nitrobacter群落均處于穩定狀態,保證了系統硝化功能的穩定性.
測序結果顯示(表 2),系統中鑒定出的Nitrobacter可分為3類,分別為Group1 Nitrobacter、Group2 Nitrobacter和Group3 Nitrobacter,其中,Nb1、Nb2、Nb3、Nb4、Nb5、Nb6、Nb7、Nb8、Nb9、Nb21、Nb22和Nb23屬于Group1 Nitrobacter,也是數量最多的一類Nitrobacter,Nb15、Nb16、Nb17、Nb18、Nb19和Nb20屬于Group2 Nitrobacter,Nb12、Nb13和Nb14屬于Group3 Nitrobacter.因此,結合圖 5b可以進一步看出,系統DO從高濃度(3、2 mg·L-1)降低到低濃度(1、0.5和0.3 mg·L-1)時,系統中的Nitrobacter的種類從Group2和Group3轉變成了Group1.另外,從測序結果也可以看出,N. winogradskyi系統中的優勢Nitrobacter,但在高低DO工況下,它們屬于不同的發育分支.
3.2.3 NOB群落中Nitrospira群落結構的變化
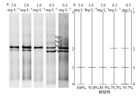
由圖 6a可知,不同DO條件下的Nitrospira群落結構變化較小,系統中的優勢細菌始終為Np3和Np4,相比于有著豐富群落結構的Nitrobacter,系統中Nitrospira的優勢種群較少.

圖 6 不同DO條件下Nitrospira的DGGE圖譜(a)和所有條帶的檢測示意圖(b)
圖 6b顯示了Nitrospira的DGGE圖譜的條帶分布、強度及每個工況的DGGE圖譜各樣品間的相似性.總體而言,不同DO條件下小試A/O系統曝氣池中的Nitrospira種群相似性較高,種群結構沒有發生較大的改變. 高DO(3和2 mg·L-1)和低DO(1、0.5和0.3 mg·L-1)環境下Nitrospira的群落結構相似性較高,從高DO變化到低DO,系統內細菌群落結構的動態變化率約為10%~40%,變化程度較小.因此,DO的變化并未對Nitrospira的種群結構和多樣性產生較大的影響,不同DO環境中的Nitrospira群落結構相類似. Shannon-Weiner 指數(H)顯示(表 1),高DO下的Nitrospira多樣性相對較低,而在0.5 mg·L-1的系統中,兩種Nitrospira均為優勢菌,其均勻度較高,因此,相應的多樣性指數較高.
測序結果顯示(表 2),系統中鑒定出的Nitrospira均屬于Group1 Nitrospira,系統中并未檢測出Group2 Nitrospira中的細菌,Np1、Np2、Np3、Np4所代表的細菌均屬于同一類細菌,而且同源性很高,由此也說明,小試A/O系統中Nitrospira的種類較單一,相比于Nitrobacter豐富的種群,Nitrospira的種類較少. 這也與類似的研究結果相一致(Park et al.,2008).
由Nitrobacter和Nitrospira的多樣性指數可以看出,小試A/O系統中最主要的NOB為Nitrobacter.雖然Liu等(2013)的研究結果表明,在長期的低DO環境下,Nitrospira-like比Nitrobacter-like的NOB數量更多,但Nitrobacter和Nitrospira具有不同的生存策略,Nitrospira遵循的是K策略,更適應于在低濃度的亞硝酸鹽環境中生存,Nitrobacter的生長實行的是r策略,在亞硝酸鹽濃度很低的環境中競爭不過Nitrospira,但當有足夠的亞硝酸鹽存在時,Nitrobacter的生長速度比Nitrospira更快. 在缺少亞硝酸鹽的環境中,Nitrospira的含量更豐富,而在本研究的A/O系統中亞硝酸鹽并不是NOB生長的限制因子,因此,Nitrobacter是小試A/O系統中最主要的NOB,主要貢獻了亞硝酸鹽的氧化作用.
4 結論(Conclusions)
1)當DO濃度從3 mg·L-1降低到0.5 mg·L-1時,本研究中的推流式A/O小試系統仍然能保持很好的脫氮效果,氨氮和總氮的去除率分別達到了98%和85%以上;當DO進一步降低到0.3和0.2 mg·L-1時,出水水質指標不能達標,系統運行難以達到穩定狀態.
2)PCR-DGGE的解析結果表明,A/O小試系統中AOB群落結構的動態變化水平約為20%~40%,Nitrospira群落結構的動態變化水平約為10%~40%,AOB和Nitrospira的群落結構隨DO的變化并不顯著. 而Nitrobacter的群落結構隨DO的降低發生了明顯的變化,不同DO環境中的Nitrobacter群落結構存在較大差異.具體參見污水寶商城資料或http://www.xhxdt.com更多相關技術文檔。
3)測序結果表明,A/O小試系統活性污泥中的優勢AOB主要為Nitrosomonas oligotropha、Nitrosomonas-like和Nitrosomonas europaea,Nitrosomonas oligotropha的AOB更適宜在低DO的環境中生存. 系統中的Nitrobacter包括Group1 Nitrobacter、Group2 Nitrobacter和Group3 Nitrobacter 3類中的細菌,其中,Group1 Nitrobacter是最多的一類Nitrobacter,也是適應在低DO環境下生存的Nitrobacter.小試A/O系統中Nitrospira主要的優勢菌種始終是Group 1 Nitrospira.




